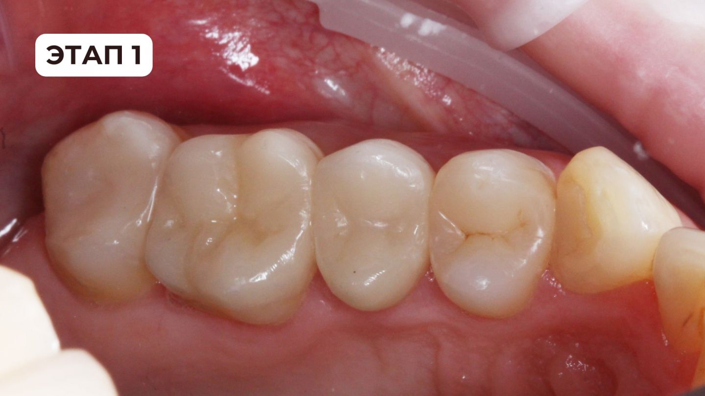
Показываем работу сразу над 4-мя зубами: 2.4, 2.5, 2.6 и 2.7. Хотим сделать акцент именно на последнем зубе (2.7) и рассказать подробнее.
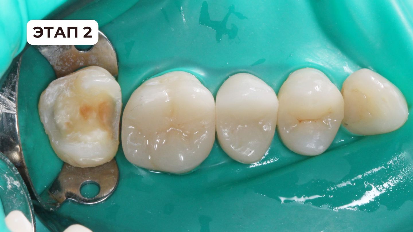
На данном этапе уже выполнено:
 
                    					    
                    						    Препарирование зуба. Реставрация с восстановлением контактного пункта.
 
                    					    
                    						    Постановка матрицы, установка кафердама. Замена пломбы в связи со вторичным кариесом и по ортопедическим показаниям.
 
                    					    
                    						    Эстетическая реставрация композитным материалом.
За красивой и здоровой улыбкой к нам!
Записаться на прием можно любым удобным способом: в чате на сайте, по телефону или в мессенджерах.
Комплексное стоматологическое лечение с заботой о каждом пациенте.
	                        Лиц. № М-8180 от 02.11.2017
 
                            Выдана МЗРБ
                            УНП 691834037
	                    
                	        +375 (17) 511 61 51 (тел./факс)
                            +375 (29) 637 11 00 А1
                            +375 (33) 637 11 00 МТС
                            +375 (25) 637 11 00 life:)
                	    
	                        Минский р-н, д. Королёв Стан,
						    ул. Солнечная, 1
						    Мы на Яндекс картах
	                    
                            Пн-Пт: 8:00 — 21:00
	                        Сб: 10:00 - 21:00
	                        Вс: 10:00 — 18:00
                        
© 2017 — 2025 / ООО «Апрель-клиник»
Разработка сайта