Восстановление зуба ребенку
Минский р-н, д. Королёв Стан, ул. Солнечная, 1
+375 (17) 511 61 51 (тел./факс) +375 (29) 637 11 00 (моб.)

Восстановление зуба ребенку

Запись на приём

Восстановление зуба ребенку

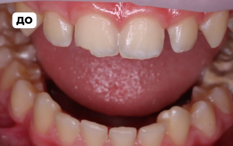
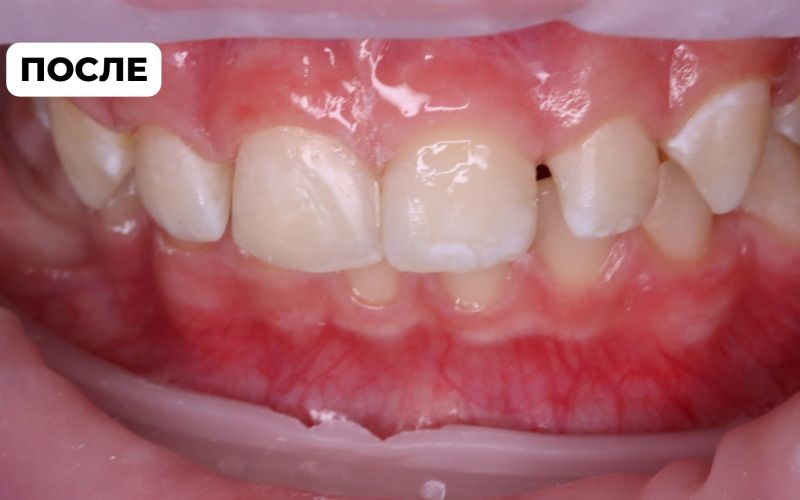
Рассказываем о восстановлении зуба у маленького пациента. Ответственная за результат стоматолог-терапевт Карабанова Наталья Сергеевна.

Пациент, 10 лет.
Произошла травма зуба.
Выполнили прямую реставрацию.


ВНИМАНИЕ! Важная информация!
При травме постарайтесь найти фрагмент зуба. Поместите его в физраствор, воду или молоко. И принесите на прием к стоматологу. Важно обратиться за помощью в день травмы.

Восстановление зуба ребенку | Стоматологический центр АПРЕЛЬ Восстановление зуба ребенку | Стоматологический центр АПРЕЛЬ

Комплексное стоматологическое лечение с заботой о каждом пациенте.

Лиц. № М-8180 от 02.11.2017
Выдана МЗРБ
УНП 691834037

+375 (17) 511 61 51 (тел./факс)
+375 (29) 637 11 00 А1
+375 (33) 637 11 00 МТС
+375 (25) 637 11 00 life:)

info@aprilmed.by

Минский р-н, д. Королёв Стан,
ул. Солнечная, 1
Мы на Яндекс картах

Пн-Пт: 8:00 — 21:00
Сб: 10:00 - 21:00
Вс: 10:00 — 18:00

© 2017 — 2026 / ООО «Апрель-клиник»

Разработка сайта MadeSimple / Продвижение сайта CROPAS

Стоматология
ул. Солнечная, 1 д. Королев Стан Пн-Пт: 8:00 - 21:00, Сб-Вс: 10:00 - 18.00
+375 (29) 637 11 00 info@aprilmed.by